
病史
患者男,70岁。曾有54年烟龄,是一位退休的办公室职员。反复胸部感染6个月。起初咳嗽有痰,后来为干咳。
患者诉:劳力性呼吸困难,全身疲乏,食欲下降,六个月内体重减轻约5公斤。无咯血,盗汗或发热。
患者有缺血性心脏病,12年前行冠状动脉搭桥术,慢性阻塞性气道疾病,高血压和高胆固醇血症。患者2岁时,其母亲死于结核病。
治疗药物包括吸入皮质类固醇,长效吸入型抗胆碱能药物,小剂量阿司匹林,ACE抑制剂和他汀类药物。
体格检查
经检查,脉率70bpm,并且正常。无发热,在室内空气下氧饱和度为97%。很早便出现杵状指。心血管检查发现有收缩期杂音。呼吸检查显示双侧进气量减少,但无爆裂或喘息音。腹部检查无异常
实验室检查
➤除嗜酸性粒细胞为0.6×109/L(0.0-0.4×109/L)外,全血细胞计数正常。
➤红细胞沉降率(ESR)为88mm/h(1-22mm/h),C反应蛋白(CRP)为60mg/L(0-10mg/L)。
➤尿素氮,肌酐,电解质和肝功能检查正常。
基于胸部X线片(图1)和计算机断层扫描(CT)(图2和3),做了进一步的实验室检查,并进行了支气管镜检查:
➤血清IgE2378ng/ml
➤烟曲霉(m3)抗体12.1ng/ml(阳性)
➤抗曲霉IgG149ng/ml(阳性)
➤抗核抗体(阴性)
➤抗中性粒细胞胞浆抗体(阴性)
➤半乳甘露聚糖0.2ng/ml(阳性0.5ng/ml)
➤Ziel-Nielson染色抗酸杆菌阴性
➤支气管镜检查未发现支气管内病变的证据
➤支气管肺泡灌洗显示革兰氏阳性球菌和革兰氏阴性杆菌
➤经支气管镜活检:无恶性细胞,无非特异性炎症改变

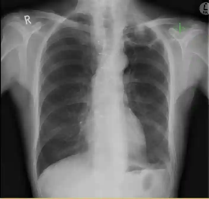
图1PA胸片显示左肺尖空洞。

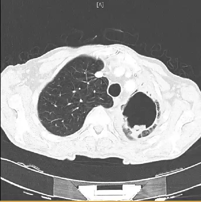
图2仰卧位CT扫描。

图3俯卧位CT扫描。
结合以上检测,最可能的诊断是什么?
A.曲霉菌

B.结核
C.恶性肿瘤
D.结节病
E.肺炎克雷伯菌
正确答案:曲霉菌
曲霉广泛分布与自然界中,存在于有机质坏死物、发霉谷物、饲料、水、土壤、衣服和家具中。常通过吸入空气中的孢子而感染。在37°C时,生长最佳,直径2至3µm的小孢子容易被吸入并沉积在肺部深处。可能会导致多种临床症状,尽管最为明显的肺部疾病。引起肺部曲霉感染的最常见的是烟曲霉,少数为黄曲霉。
曲霉为条件致病菌,有肺部基础疾病或免疫功能低下的患者吸入会导致多种疾病。
曲霉菌最先常在肺部空洞内生长,肺部存在空洞是最常见的诱发因素。在大多数情况下,病变保持稳定。约有10%的曲霉菌不经治疗会减轻或自然消退。少见曲菌球增大。大多数患者无症状,有时长达数年,仅会偶然发现。患者可出现咯血,有时很严重。可能表现为慢性咳嗽或呼吸困难。
在放射学上,曲菌球在上叶明显,腔内肿块活动,周围有空气新月征。曲菌球的位置随患者位置的改动而变化。痰培养可能显示存在曲霉菌,但50%的病例培养阴性。几乎在所有的病例中,曲霉菌血清IgG抗体均为阳性;但是,在非烟曲霉所致的曲菌球患者或接受皮质类固醇激素治疗的患者中,可能出现假阴性。
对于无症状患者,无需任何治疗。没有一致的证据表明曲霉菌对两性霉素B或伏立康唑等抗真菌药有反应。可以使用空腔内或支气管内抗真菌药物治疗,但这通常适用于严重咯血的患者。曲霉菌的外科治疗与相对较高的病死率有关,病死率在7%~23%。术后也有相当大的发病率,如出血、胸膜疾病、支气管胸膜瘘、脓胸和呼吸衰竭。
进一步检测:
患者随后呼吸急促,并出现咳嗽,咳绿色痰。无发热,呼吸检查左上叶有爆裂音。
1.实验室检测
➤白细胞计数12.5x109/L(4-11x109/L)
➤中性粒细胞9.3x109/L(2.0-7.5x109/L)
➤嗜酸性粒细胞0.2x109/L(0.0-0.4x109/L)2.室内空气中的动脉血气分析
➤PO2:10.61kPa(79.8mmHg)
➤PCO2:3.86kPa(29mmHg)
➤pH:7.49
➤HCO3:23.7mmol/L3.肺功能检查
➤FEV156%预计值
➤FVC80%预计值
➤FEV1/FVC53%
➤TLC84%预计值
➤RV98%预计值
➤DLco33%预计值
结合以上,什么是最可能的诊断?
A.曲霉菌伴细菌感染
B.恶性肿瘤
C.慢性坏死性曲霉病
D.侵袭性肺曲霉菌
和C
正确答案:E
慢性坏死性曲霉病(CNA)是由于曲霉菌侵袭而导致的肺缓慢的破坏过程。其特征为肺组织的局部浸润。不需要预先存在空洞,尽管真菌球空洞可能是真菌破坏的次要表现。它与侵袭性曲霉病的不同之处还在于,CNA是一个长期过程,需要数月至数年才能缓慢发展,并且没有浸润血管或散播至其他器官。
CNA普遍影响中老年患者和有基础肺部疾病的患者(慢性阻塞性肺疾病、非活动性结核、曾行肺切除术、放疗、囊性纤维化、肺梗塞)。轻度免疫抑制患者也会受其影响,如糖尿病、结缔组织疾病(类风湿性关节炎和强直性脊柱炎等)、营养不良以及使用低剂量皮质类固醇。
临床特征包括发热、咳嗽、咳痰及1~6个月的体重减轻。胸部X线片通常显示上叶或下叶背段浸润。近一半的病例可观察到真菌球。邻近胸膜增厚是一种典型表现,可能是局部浸润的早期指征。
CAN的临床诊断可使用以下标准:
➤临床及影像学表现与诊断一致
➤痰液、支气管镜样本培养分离曲霉菌
➤排除其他表现类似的疾病,例如活动性肺结核,非典型分枝杆菌感染,慢性组织胞浆菌病或球孢子菌病
用抗真菌药如静脉用两性霉素B进行治疗。但是,伏立康唑已成为一种有效的替代药物。手术切除通常用于局灶性病变和肺功能储备良好的年轻患者。
鉴别
侵袭性肺曲霉菌病(IPA)是一种严重且危及生命的疾病,影响长期严重中性粒细胞减少的患者。最常见于造血干细胞或实体器官移植的患者。肺部疾病是最常见的表现。早期诊断困难。支气管肺泡灌洗(BAL)培养在局灶性肺部病变中的敏感性为50%。明确诊断通常需侵入性操作,但是在中性粒细胞减少症患者的痰液或BAL中分离曲霉菌可高度预测侵袭性疾病。
在中性粒细胞减少和接受造血干细胞移植的患者中,其早期IPA在胸部CT上最常表现是单发或多发结节,并且胸部X线片表现可能不明显。
结合以下各项可诊断为“可能的侵袭性曲霉菌病”,因此无需进行侵入性操作检测。
➤易感宿主因素
➤临床和影像学表现一致
➤连续两次血清半乳甘露聚糖试验阳性
尽管可以使用手术清除坏死和感染组织,但治疗主要是使用合适的抗真菌剂。也适用于心包感染、脓胸、胸壁浸润和持续咯血。手术切除空洞用于单发肺部病变、反复咯血或重叠细菌感染的患者。
伏立康唑是主要的治疗方法。推荐剂量为首日静脉滴注6mg/kg,每日两次,随后静脉滴注4mg/kg,每日两次,稳定后改为200mg,口服,每日两次。
伏立康唑和棘白菌素类联用可用于补救疗法。建议继续进行抗真菌治疗,直至感染症状和体征以及影像学证据消失至少2周为止。
编译整理自:
CavitatingLungLesionandRecurrentChestInfections-thoracic