人生小哲理
不贬不褒
如实陈述
方为科普之道
正文
撰文:步步先生
●●●
椎间盘退变(intervertebraldiscdegeneration,IDD)是一种广泛存在的肌肉骨骼病,是引起下腰痛的主要原因。通常认为,衰老、创伤和遗传因素是导致椎间盘发炎和退变的主要原因。手术虽然能够在很大程度上缓解疼痛,但是伴随的副作用不容忽视。手术后椎间盘的退变不可逆转,并且会进一步加重。
椎间盘退变的生物治疗大多侧重于椎间盘残留细胞的再生和损伤细胞的修复。椎间盘区域细胞的自我修复能力弱,越来越多的干细胞相关治疗被报道。
1
相关基础知识
椎间盘退变和MSCs
椎间盘退变是是引起下腰痛的主要原因。通常认为,衰老、创伤和遗传因素是导致椎间盘发炎和退变的主要原因。椎间盘是由内髓核(NP)、外纤维环(AF)和两端终板组成的。NP细胞产生细胞外基质,保持结构和功能的稳定性。NP细胞的再生或细胞活力的恢复是椎间盘再生的关键挑战。
间充质干细胞(MSCs)的治疗作用,主要归因于其在炎症环境调控下发挥的免疫调节功能,可以用于治疗广泛的退行性和炎性疾病。
间充质干细胞外囊泡
细胞外囊泡,被认为是优良的药物递送载体。同时,具有独特性的介导细胞间通信和相互作用。研究表明,间充质干细胞外囊泡(MSC-EVs)具有与间充质干细胞(MSCs)相似的生物学功能,在组织修复和再生中起着重要作用。外泌体成本更低、稳定性更高,在储存和运输方面也相对容易。MSC-Evs被认为是MSCs在某些疾病治疗的理想替代品。
2
MSC-EVs促进椎间盘退变修复
华中科技大学同济医学院附属协和医院骨科杨操教授团队研究发现:二甲双胍可促进间充质干细胞外囊泡(MSC-EVs)释放增多,同时也提高了囊泡内调节细胞增殖的蛋白水平,可优化细胞外囊泡在椎间盘再生修复中的应用效果。该研究发表于Biomaterials杂志上,论文题目为“Metforminfacilitatesmesenchymalstemcell-derivedextracellularnanovesiclesreleaseandoptimizestherapeuticefficacyinintervertebraldiscdegeneration”,
研究思路:

图研究示意图
研究者研究了二甲双胍对MSC-EVs的影响,重点探讨了EVs分泌的机制。先比较了正常和二甲双胍处理的MSC-EV分泌情况,结论支持二甲双胍诱导EVs释放的猜想。接着在体内外实验的基础上,进一步比较二甲双胍处理的MSC-EVs和正常MSC-EVs对NP细胞的治疗效果,进行蛋白质组学分析显示。最后,构建大鼠尾椎的椎间盘退变模型,对比二甲双胍处理的MSC-EV和正常MSC-EV在延缓椎间盘退变中的体内治疗效果。

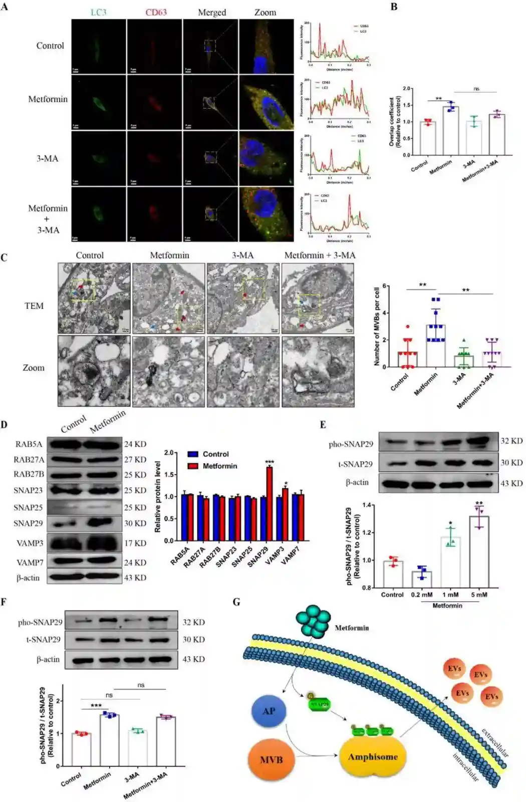
囊泡标志物蛋白水平检测、透射电镜及粒径分析结果表明,经二甲双胍处理后的间充质干细胞(MSCs)可释放更多的囊泡。
进一步研究发现,二甲双胍通过自噬相关途径增强EVs的产生,同时伴随突触体相关蛋白29(SNAP29蛋白)的磷酸化。二甲双胍不仅影响MSCs-EVs的数量,还影响其质量。

蛋白质组学分析显示,经二甲双胍处理后的MSC-EVs,与未经二甲双胍处理相比,MSC-EVs中与细胞增殖相关的蛋白水平增高。结果表明,二甲双胍处理的骨髓间充质干细胞衍生的外囊泡(BMSC-EVs)在体内外均能改善椎间盘细胞的衰老。
动物实验
动物模型:
采用针刺法构建大鼠的椎间盘退变模型。简单地说,就是从大鼠背部尾部皮肤穿刺椎间盘,诱导椎间盘退变。
实验设计
24只SD大鼠随机分4组,分别给药:空白对照组采用33号针穿刺;IDD组采用20号针穿刺并注射PBS;C-EVs组,20号针穿刺注射正常对照MSC-EVs;M-EVs组,20号针穿刺注射二甲双胍处理过的MSCs-EVs。每周重复注射一次,持续一个月,比较M-EVs和C-EVs在延缓椎间盘退变中的治疗效果。
另一方面,构建大鼠尾椎的椎间盘退变模型,对比M-EVs及C-EVs在延缓椎间盘退变中的体内治疗效果。
实验结果表明,MSC-EVs可在一定程度上恢复椎间盘高度。MSC-EVs均可改善椎间盘组织细胞数量和形态。经过二甲双胍处理的MSC-EVs(M-EVs)治疗效果要优于未经二甲双胍处理的MSC-EVs(C-EVs),MSC-EVs降低了基质降解酶(如基质金属蛋白酶MMPs),这是椎间盘退行性病变的组织特征之一。MSC-EVs在一定程度上延缓椎间盘退变在体内的进展,且经过二甲双胍处理的MSC-EV(M-EVs)治疗效果优于未经二甲双胍处理的MSC-EV(C-EVs)。
3
文末小结
本研究发现,二甲双胍不仅影响MSC-EVs的数量,还影响其质量,并强调了自噬作用和MSC-EVs释放之间的关系。二甲双胍可通过自噬相关途径促进EVs的产生。此外,二甲双胍还促进EVs在体内的运输。本研究揭示了二甲双胍在干细胞囊泡治疗中的应用潜能,也为椎间盘再生修复提供了新的思路。
参考文献:
Metforminfacilitatesmesenchymalstemcell-derivedextracellularnanovesiclesreleaseandoptimizestherapeuticefficacyinintervertebraldisc
,120850.


乘干细胞之东风——火爆“外泌体”的崛起
—END—

-科普情怀责任-